Bu sertleşmiş plaklar, dişlerin yüzeyinde sarımsı veya kahverengimsi bir görünüm oluşturur. Diş taşı, diş eti hastalıklarına ve diş çürüklerine zemin hazırlayabilir.

Diş Taşı Oluşumunun Başlıca Nedenleri
Diş taşı oluşumunun ana sebepleri şunlardır:
-
Yetersiz ağız hijyeni
-
Düzenli diş fırçalamama
-
Diş ipi kullanmama
-
Şekerli ve nişastalı yiyeceklerin sık tüketimi
-
Sigara kullanımı
-
Düzensiz diş hekimi kontrolleri
Bu faktörler, plak birikimini artırarak diş taşı oluşumuna yol açar. Özellikle ağız hijyenine dikkat edilmediğinde, dişlerde plak birikimi hızlanır ve bu plaklar zamanla diş taşına dönüşür.

Diş Taşı Evde Temizlenir mi?
Diş taşı, sertleşmiş bir yapıya sahip olduğu için evde tamamen temizlenmesi oldukça zordur. Ancak, diş taşı oluşumunu önlemek veya azaltmak için evde bazı önlemler alınabilir:
-
Günde en az iki kez diş fırçalamak
-
Diş ipi kullanmak
-
Antiseptik ağız gargaraları kullanmak
-
Şekerli ve asitli yiyeceklerin tüketimini sınırlamak
-
Düzenli diş hekimi kontrollerine gitmek
Bu yöntemler, diş taşı oluşumunu engellemeye yardımcı olabilir ve ağız sağlığını koruyabilir.
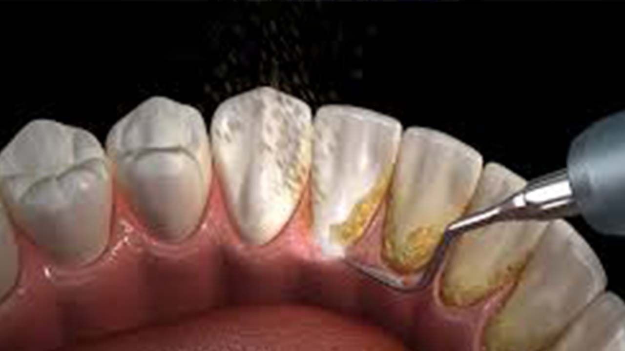
Diş Taşı Nasıl Temizlenir?
Diş taşı temizliği, diş hekimleri tarafından profesyonel olarak yapılır. Bu işlem sırasında özel aletler kullanılarak diş taşları temizlenir. Diş taşı temizliği genellikle ağrısızdır ve dişlerin daha sağlıklı görünmesini sağlar. Diş taşı temizliği sonrasında, dişler daha beyaz ve parlak olur, ayrıca ağız kokusu da azalır.
Diş Taşı Temizliğinin Faydaları
Diş taşı temizliğinin sağladığı bazı faydalar şunlardır:
-
Diş eti hastalıklarının önlenmesi
-
Ağız kokusunun giderilmesi
-
Diş çürüklerinin önlenmesi
-
Dişlerin daha beyaz ve parlak görünmesi
-
Genel ağız sağlığının korunması
Diş Taşı Oluşumunu Önlemek İçin Öneriler
Diş taşı oluşumunu önlemek için şu önlemler alınabilir:
-
Düzenli diş fırçalama ve diş ipi kullanımı
-
Antiseptik ağız gargaraları kullanmak
-
Şekerli ve asitli yiyeceklerin tüketimini sınırlamak
-
Sigara kullanımını bırakmak
-
Düzenli diş hekimi kontrollerine gitmek




