Siyah diş lekeleri, estetik kaygılarla birlikte ağız sağlığını da olumsuz etkileyebilir. Bu blog yazısı, siyah diş lekeleri için evde uygulanabilecek etkili yöntemleri ele alıyor. Dişlerinizi beyazlatmak için kabartma tozu, hindistan cevizi yağı ve elma sirkesi gibi doğal malzemeleri kullanabilirsiniz. Ayrıca, düzenli diş fırçalama ve diş ipi kullanma gibi basit alışkanlıklarla siyah diş lekelerini azaltmak mümkün. Yazıda, siyah diş lekelerini önlemek için alabileceğiniz önlemler de yer alıyor. Ağız bakımını ihmal etmemek, asidik yiyecek ve içeceklerden kaçınmak diş sağlığınız için önemlidir. Bu basit ama etkili yöntemlerle siyah diş lekelerinden kurtulabilir ve daha sağlıklı bir gülüşe sahip olabilirsiniz.
Siyah Diş Lekeleri İçin Evde Uygulanabilecek Etkili Yöntemler
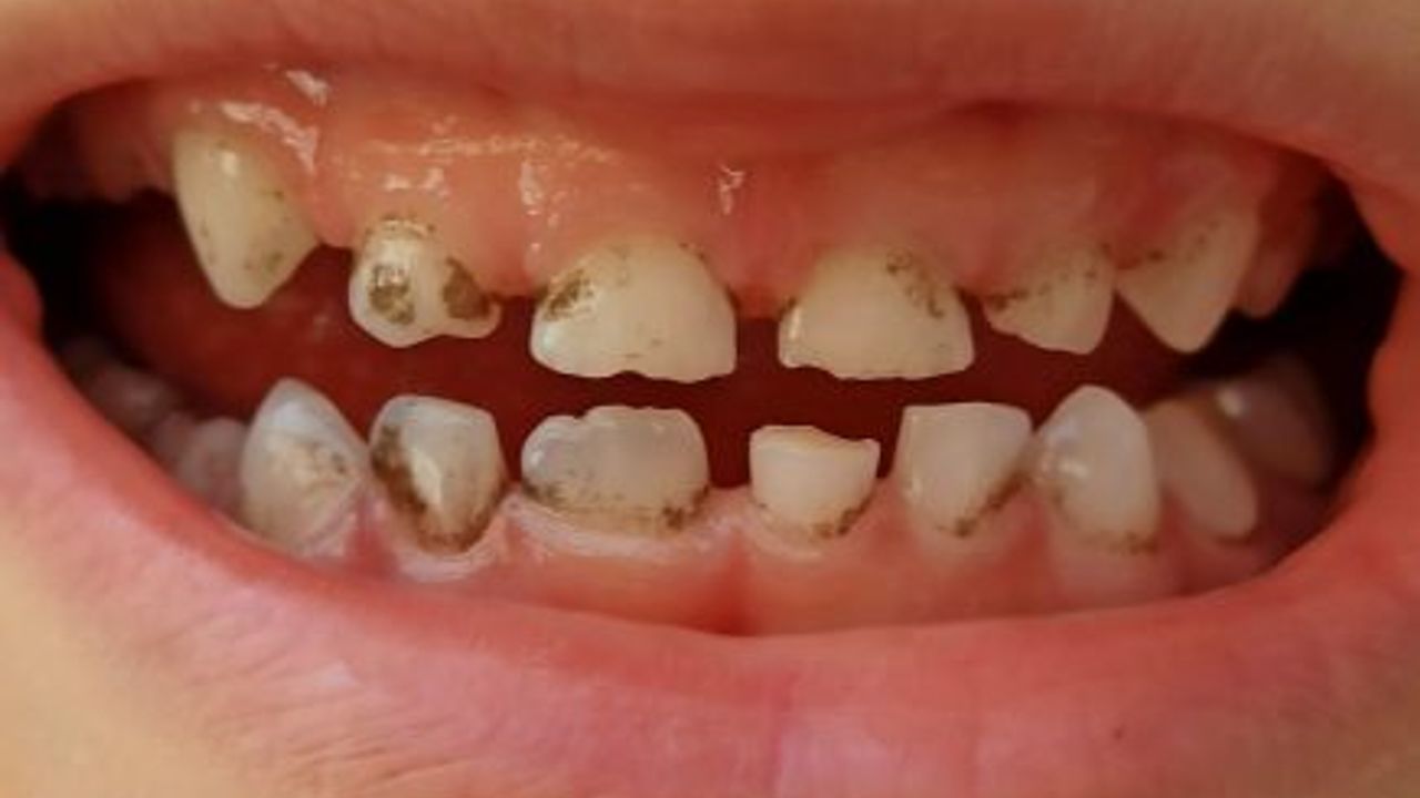
Siyah Diş lekeleri, birçok insanın karşılaştığı estetik bir sorundur. Bu lekelerin oluşumunda çeşitli etkenler bulunmaktadır; dişlerin doğal yapısı, yanlış ağız hijyeni veya aşırı kahve, çay tüketimi gibi alışkanlıklar buna sebep olabilir. Neyse ki, bu lekeleri evde kolayca temizlemek için bazı etkili yöntemler mevcuttur. Doğal malzemeleri kullanarak dişlerinizi beyazlatmak ve lekeleri azaltmak artık imkansız değil.
Uygulayabileceğiniz Adımlar
- Dişlerinizi düzenli olarak fırçalayarak temizlik sağlayın.
- Hidratlı limon suyunu kullanarak dişlerinizi beyazlatın.
- Karbonat ve su karışımını diş macunu olarak uygulayın.
- Adaçayı yağı ile gargara yaparak ağız sağlığınızı destekleyin.
- Hindistancevizi yağı ile yağ çekme işlemini deneyin.
- Yoğurt tüketimi ile diş sağlığınızı güçlendirin.
- Diş ipi kullanarak arayüzlerdeki lekelerin önüne geçin.
Tüm bu yöntemler, siyah diş lekelerinin görünümünü azaltmak için mükemmel seçeneklerdir. Doğal malzemelerle uygulanan bu yöntemleri düzenli hale getirerek, beyaz ve sağlıklı dişlere sahip olabilirsiniz. Ancak bu uygulamalar sırasında aşırıya kaçmamak ve dişlerinizin yapısına zarar verecek yöntemlerden kaçınmak önemlidir.
Doğal Malzemelerle Temizlik Yöntemleri
Doğal malzemelerle dişlerinizi temizlemek, kimyasal içerikli ürünlere göre daha az zararlıdır. Örneğin, limon suyu ve karbonat karışımı, lekeleri çıkarmada son derece etkilidir. Ayrıca, hindistancevizi yağı kullanarak yapılan yağ çekme işlemi, dişleri beyazlatırken ağızdaki zararlı bakterileri de azaltır. Bu tür yöntemler, dişlerinize zarar vermeden güzel bir görünüm kazandırır.
Diş Sağlığı İçin Öneriler
Diş sağlığınızı korumanın en iyi yollarından biri, düzenli olarak diş fırçalamaktır. Bunun yanı sıra, şekerli yiyecek ve içeceklerden kaçınmak, aşırı çay ve kahve tüketimini sınırlandırmak da önemlidir. Ayrıca, diş ipi kullanımı ile dişlerinizin arasındaki lekelerin birikmesini önleyebilirsiniz. Bu basit ama etkili adımlar, diş sağlığınızı desteklemek ve siyah diş lekelerinin oluşumunu engellemek için gereklidir.
Siyah Diş Lekelerini Önlemek İçin Alabileceğiniz Önlemler
Siyah Diş lekeleri, ağız sağlığının en büyük düşmanlarından biridir. Bu lekeler, estetik kaygıların yanı sıra diş sağlığını olumsuz etkileyebilir. Dişlerinizi düzenli olarak temizlemek ve beslenme şeklinizi gözden geçirmek, bu lekelerin oluşumunu önlemek için önemlidir. Ayrıca, ağız bakım rutinlerinizi güçlendirmek için basit ama etkili önlemler alabilirsiniz.
Günlük hayatınızdaki bazı alışkanlıklar, Siyah Diş lekelerinin oluşumuna katkıda bulunabilir. Özellikle asidik içecekler, sigara kullanımı ve aşırı şeker tüketimi diş minesine zarar verebilir ve lekelerin oluşmasına neden olabilir. Bu kötü alışkanlıklardan kaçınmak, diş sağlığınızı korumanıza yardımcı olacaktır.
Önleyici İpuçları:
- Dişlerinizi günde en az iki kez fırçalayın.
- Diş ipi kullanarak dişlerinizin arasını temizleyin.
- Asidik ve şekerli gıdalardan kaçının.
- Su tüketiminizi artırarak ağzınızı nemli tutun.
- Sigara içmeyin veya bırakın.
- Diş hekimine düzenli kontroller için gidin.
- Evde doğal kürler uygulayarak dişlerinizi beyazlatın.
Aynı zamanda, doğal malzemelerle yapılan evde uygulamalar da Siyah Diş lekelerini azaltmada etkili olabilir. Örneğin, karbonat ve limon suyu karışımı, dişleri beyazlatmanın yanı sıra lekelerin görünümünü de azaltabilir. Ancak bu tür yöntemleri kullanırken aşırıya kaçmamak ve dişlerinizi korumak için dikkatli olmak önemlidir. Unutmayın ki, sağlıklı bir ağız için profesyonel öneriler almanız her zaman faydalı olacaktır.





